Komplexní zubní péče

MDDr. Tadeáš Brůžek

Co vše pro Vás můžeme udělat?

Vstupní vyšetření

Vstupní vyšetření

Z dotazníku zjistíme základní osobní údaje a informace o vašem zdravotním stavu, které nám pomohou určit individuální postup Vaší léčby.

Vstupní vyšetření

V první návštěvě naší ordinace absolvujete důkladné vstupní vyšetření, kterému předchází vyplnění dotazníku. Z dotazníku zjistíme základní osobní údaje a informace o vašem zdravotním stavu, které nám pomohou určit individuální postup Vaší léčby.

Nedílnou součastí vyšetření je také zhotovení rentgenových snímků:

- panoramatický (OPG snímek) – přehledový snímek Vašeho chrupu ale i okolních kostních struktur

- skusové snímky (Bitewing snímek) – jsou schopné odhalit defekty starších výplní a mezizubní kazy, které nejsme schopní odhalit při vizuálním vyšetření

- intraorální snímky (periapikální snímek) – jsou detailní snímky celého zubu včetně kořene, které je nutné doplnit v případě zubů, které mají ošetřené kořenové kanálky nebo jsou postižené parodontitidou

Během vyšetření také často zhotovujeme fotodokumentaci.

Na konci vstupního vyšetření Vám podáme informaci o celkovém stavu vašeho chrupu a navrhneme Vám léčebný plán.

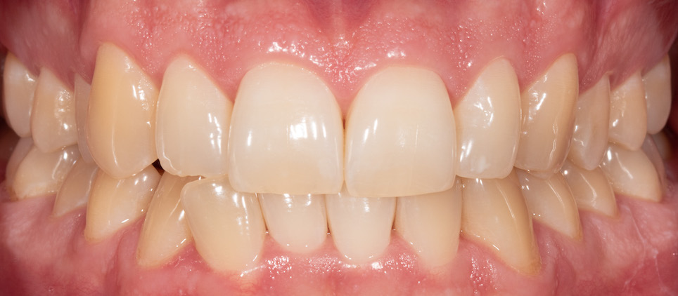
Estetické korekce

Estetické korekce

Smích je v životě důležitý. I u nás se smějeme rádi. Estetiku úsměvu vnímá, byť i podvědomě, každý z nás.

Estetické korekce

Smích je v životě důležitý. I u nás se smějeme rádi. Estetiku úsměvu vnímá, byť i podvědomě, každý z nás.

Estetické korekce spočívají v:

- úpravě barvy zubů - nejčastěji bělení zubů, ale také odstranění nevyhovujícího barevného odstínu jednotlivých zubů (vnitřní bělení) či barevných skrvn (infiltrace, mikroabraze)

- v úpravě tvaru zubů (uzavíraní mezer mezi zuby, rekonstrukce poškozených zubů – úrazem nebo starším typem ošetření)

- výměně již nevyhovujícího původního ošetření, které už nesplňuje vaše estetické požadavky (zhotovení nových fotokompozitních výplní, fazet, korunek)

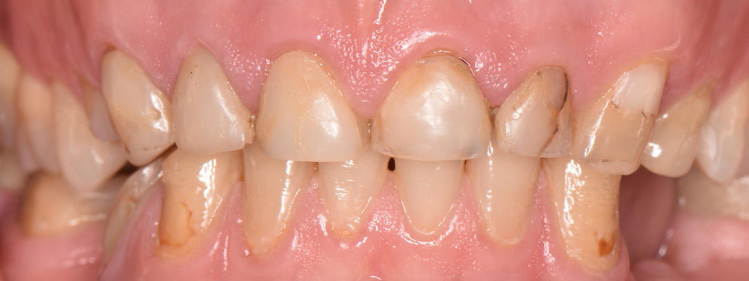
Ošetření zubního kazu

Ošetření zubního kazu

Díky včasnému odhalení kazu jsme schopni zub ošetřit zhotovením výplně, bez velké destrukce zubní tkáně.

Ošetření zubního kazu

Zubní kaz je infekční onemocnění, které vzniká zejména při nedostatečné zubní hygieně. Dbáme na včasnou diagnostiku, a tak můžeme zubní kaz v dnešní době odhalit již ve velmi brzkém stádiu pomocí rentgenových snímků či vyšetřením se zvětšovacími pomůckami (lupové brýle, operační mikroskop). Díky včasnému odhalení kazu jsme schopni zub ošetřit zhotovením výplně, bez velké destrukce zubní tkáně.

Materiálem volby je fotokompozitní (bílá) výplň a to z důvodu nejlepší vazby k zubu, mechanické odolnosti a estetiky. Jedná se o materiál vyžadující sucho při svém zhotovení, proto se téměř vždy zhotovuje s izolační latexovou blánou zvanou kofferdam. Kofferdam zajišťuje větší komfort během ošetření, pro pacienta i pro ošetřujícího lékaře.

V případě, kdy se kaz nezachytí včas, pokračuje kazivý proces do dřeně zubu, v takovém případě již zhotovení výplně nestačí. Následně vzniká nejčastější komplikace zubního kazu - zánět zubní dřeně či okolí kořene (periodoncia). Pokud zub chceme zachovat, je v takovém případě nutné provést endodontické ošetření zubu (viz ošetření kořenových kanálků).

Velkou část naší práce také tvoří znovuošetření již nevyhovujících starších výplní. Důvodem je nejčastěji nově vzniklý kaz v sousedství výplně, ale také defektní, nepřesné či popraskané původní výplně.

Ošetření kořenových kanálků

Ošetření kořenových kanálků

Primární ošetření kořenových kanálků (endodontické ošetření) má za cíl zachovat zub v dutině ústní.

Ošetření kořenových kanálků

Primární ošetření kořenových kanálků (endodontické ošetření) má za cíl zachovat zub v dutině ústní. Ošetření je nutné v případě infekce zubní dřeně. Nejčastější příčinou jsou bakterie zubního kazu, úraz nebo pokročilá parodontitida. Ke znovuošetření kořenových kanálků (reendodontickému ošetření) přistupujeme v případě nedokonalého stávajícího ošetření kořenových kanálků s přetrvávajícími obtížemi nebo při přítomném chronickém zánětu (tzv. zubní váček).

Ošetření kořenových kanálků patří k časově a přístrojově nejnáročnějším výkonům.

K dosažení kvalitního endodotického ošetření je nezbytné optické zvětšení pracovního pole pomocí mikroskopu. Díky mikroskopu jsme schopni lokalizovat všechny kanálky zubu a zejména ošetřit komplikace původního endodontické ošetření (zalomené nástroje, odstranění původních infikovaných materiálů, ošetření nenalezených kořenových kanálků atd)

Dle náročnosti výkonu jsou k tomuto zákroku potřeba 1-2 návštěvy. Průměrná délka jedné návštěvy je 1,5 až 2,5 hod.

Vtupní vyšetření

Vstupní vyšetření

V první návštěvě naší ordinace absolvujete důkladné vstupní vyšetření, kterému předchází vyplnění dotazníku. Z dotazníku zjistíme základní osobní údaje a informace o vašem zdravotním stavu, které nám pomohou určit individuální postup Vaší léčby.

Nedílnou součastí vyšetření je také zhotovení rentgenových snímků:

- panoramatický (OPG snímek) – přehledový snímek Vašeho chrupu ale i okolních kostních struktur

- skusové snímky (Bitewing snímek) – jsou schopné odhalit defekty starších výplní a mezizubní kazy, které nejsme schopní odhalit při vizuálním vyšetření

- intraorální snímky (periapikální snímek) – jsou detailní snímky celého zubu včetně kořene, které je nutné doplnit v případě zubů, které mají ošetřené kořenové kanálky nebo jsou postižené parodontitidou

Během vyšetření také často zhotovujeme fotodokumentaci.

Na konci vstupního vyšetření Vám podáme informaci o celkovém stavu vašeho chrupu a navrhneme Vám léčebný plán.

Estetické korekce

Estetické korekce

Smích je v životě důležitý. I u nás se smějeme rádi. Estetiku úsměvu vnímá, byť i podvědomě, každý z nás.

Estetické korekce spočívají v:

- úpravě barvy zubů - nejčastěji bělení zubů, ale také odstranění nevyhovujícího barevného odstínu jednotlivých zubů (vnitřní bělení) či barevných skrvn (infiltrace, mikroabraze)

- v úpravě tvaru zubů (uzavíraní mezer mezi zuby, rekonstrukce poškozených zubů – úrazem nebo starším typem ošetření)

- výměně již nevyhovujícího původního ošetření, které už nesplňuje vaše estetické požadavky (zhotovení nových fotokompozitních výplní, fazet, korunek)

Ošetření zubního kazu

Ošetření zubního kazu

Zubní kaz je infekční onemocnění, které vzniká zejména při nedostatečné zubní hygieně. Dbáme na včasnou diagnostiku, a tak můžeme zubní kaz v dnešní době odhalit již ve velmi brzkém stádiu pomocí rentgenových snímků či vyšetřením se zvětšovacími pomůckami (lupové brýle, operační mikroskop). Díky včasnému odhalení kazu jsme schopni zub ošetřit zhotovením výplně, bez velké destrukce zubní tkáně.

Materiálem volby je fotokompozitní (bílá) výplň a to z důvodu nejlepší vazby k zubu, mechanické odolnosti a estetiky. Jedná se o materiál vyžadující sucho při svém zhotovení, proto se téměř vždy zhotovuje s izolační latexovou blánou zvanou kofferdam. Kofferdam zajišťuje větší komfort během ošetření, pro pacienta i pro ošetřujícího lékaře.

V případě, kdy se kaz nezachytí včas, pokračuje kazivý proces do dřeně zubu, v takovém případě již zhotovení výplně nestačí. Následně vzniká nejčastější komplikace zubního kazu - zánět zubní dřeně či okolí kořene (periodoncia). Pokud zub chceme zachovat, je v takovém případě nutné provést endodontické ošetření zubu (viz ošetření kořenových kanálků).

Velkou část naší práce také tvoří znovuošetření již nevyhovujících starších výplní. Důvodem je nejčastěji nově vzniklý kaz v sousedství výplně, ale také defektní, nepřesné či popraskané původní výplně.

Ošetření kořenových kanálků

Ošetření kořenových kanálků

Primární ošetření kořenových kanálků (endodontické ošetření) má za cíl zachovat zub v dutině ústní. Ošetření je nutné v případě infekce zubní dřeně. Nejčastější příčinou jsou bakterie zubního kazu, úraz nebo pokročilá parodontitida. Ke znovuošetření kořenových kanálků (reendodontickému ošetření) přistupujeme v případě nedokonalého stávajícího ošetření kořenových kanálků s přetrvávajícími obtížemi nebo při přítomném chronickém zánětu (tzv. zubní váček).

Ošetření kořenových kanálků patří k časově a přístrojově nejnáročnějším výkonům.

K dosažení kvalitního endodotického ošetření je nezbytné optické zvětšení pracovního pole pomocí mikroskopu. Díky mikroskopu jsme schopni lokalizovat všechny kanálky zubu a zejména ošetřit komplikace původního endodontické ošetření (zalomené nástroje, odstranění původních infikovaných materiálů, ošetření nenalezených kořenových kanálků atd)

Dle náročnosti výkonu jsou k tomuto zákroku potřeba 1-2 návštěvy. Průměrná délka jedné návštěvy je 1,5 až 2,5 hod.

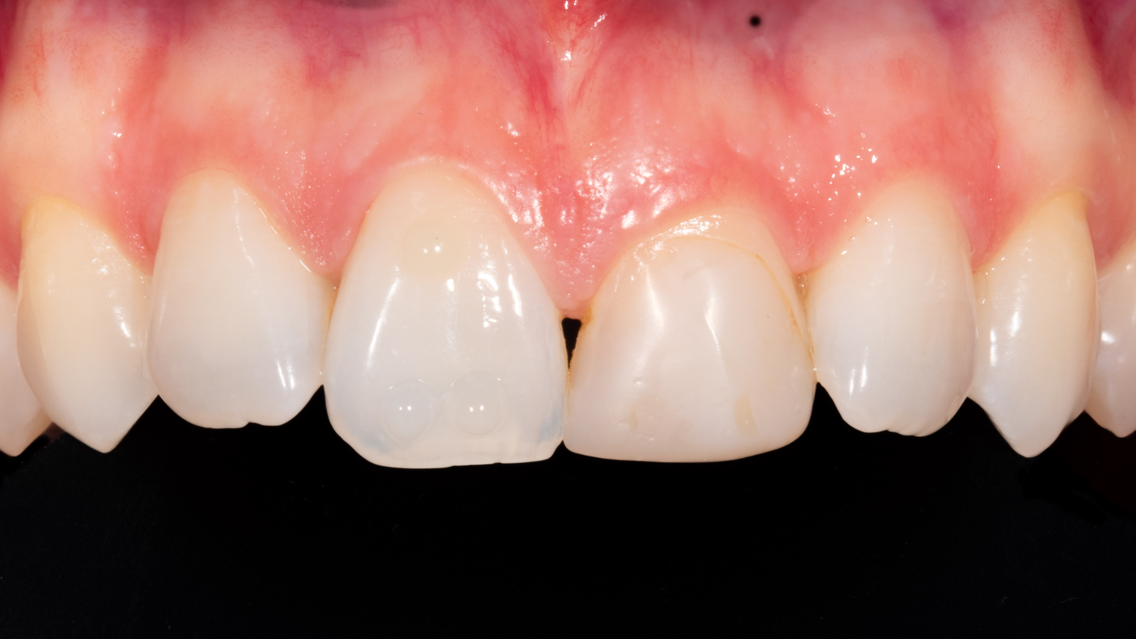
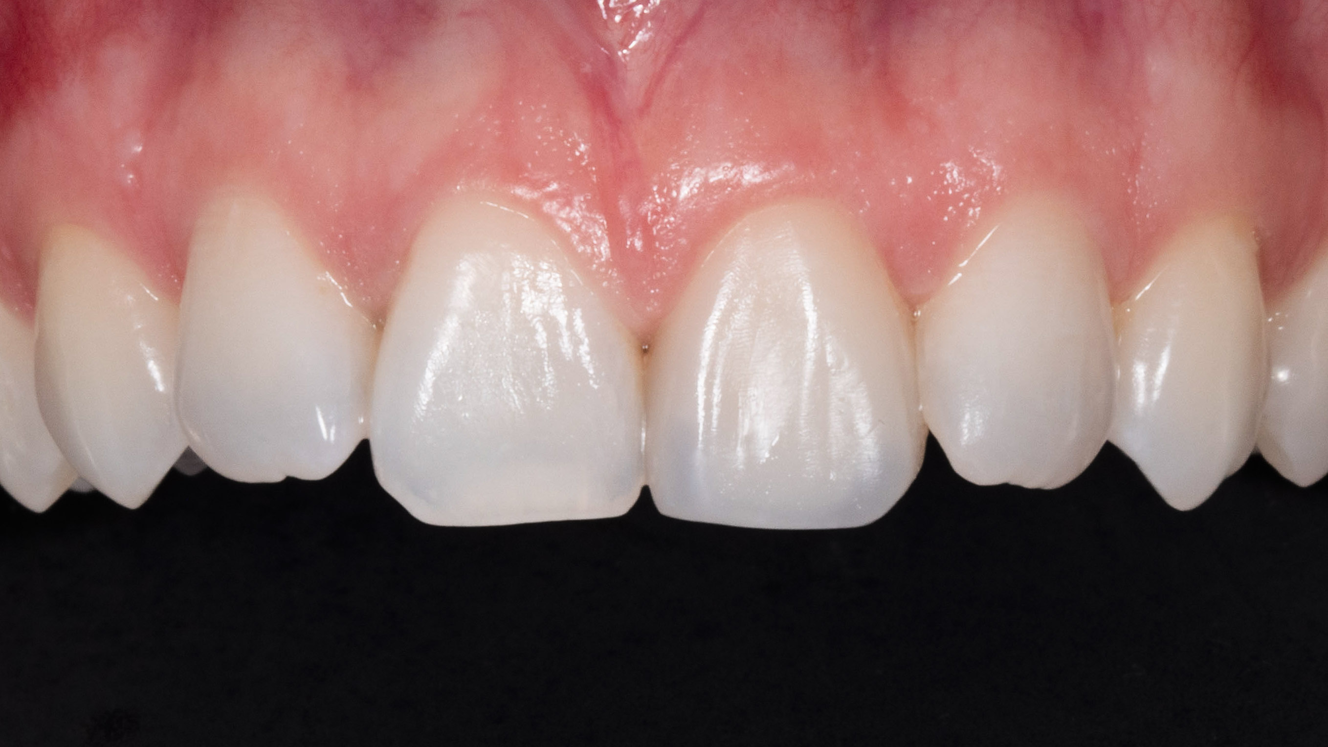
Zhotovení fazet, korunek a můstků

Zhotovení fazet, korunek a můstků

Cílem ošetření je rekonstrukce zubu v případě velké destrukce zubních tkání (typicky už není možné zub ošetřit pouhou výplní).

Zhotovení fazet, korunek a můstků

Cílem ošetření je rekonstrukce zubu v případě velké destrukce zubních tkání (typicky už není možné zub ošetřit pouhou výplní). Dále nám toto ošetření umožňuje nahradit ztracené zuby nebo zlepšit estetiku úsměvu.

Ošetření spočívá v týmové práci lékaře a zubního laboranta. Jen díky individuálnímu a preciznímu přístupu jsme schopni vytvářet přirozeně krásné odstíny, linie a tvary protetických prací.

Ošetření probíhá v několika návštěvách, v mezidobí se ve většině případů zhotovuje provizorní korunka/můstek.

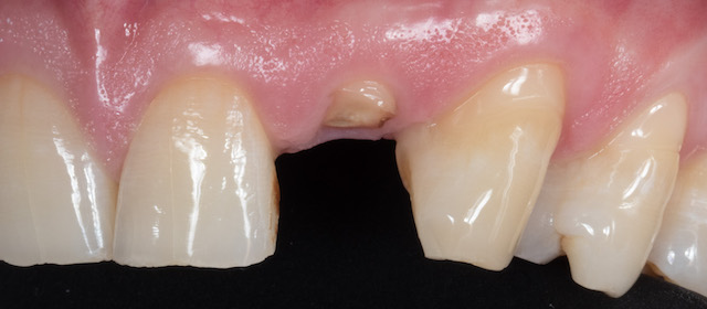
Chirurgické ošetření

Chirurgické ošetření

Extrakce neboli vytržení zubu je finálním řešení potíží a přistupujeme k němu v případě, kdy zub již není možné ošetřit.

Chirurgické ošetření

Extrakce neboli vytržení zubu je finálním řešení potíží a přistupujeme k němu v případě, kdy zub již není možné ošetřit. K extrakci zubu přistupujeme po podání lokálního anestetika a doba hojení je zkrácená vhodným ošetřením extrakční rány.

Na našem pracovišti provádíme také chirurgické vybavení zubů moudrosti (osmiček), které jsou do dutiny ústní prořezané částečně nebo jsou zcela neprořezané. Svým komplikovaným uložením mohou být zdrojem bolestivých obtíží, či komplikací pro sousedící zuby.

Po ošetření je pacient poučen v péči o dutinu ústní a díky našim postupům při ošetření rány jsou komplikace po výkonu snížené na minimum.

V případě ztráty zubu je ve většině případů možná náhrada zubu pomocí zubního implantátu. Zubní implantát nahrazuje zub bez nutnosti invazivního zásahu na sousedních zubech (jako je tomu v případě zhotovení můstku).

Implantologickému ošetření předchází důkladné vyšetření celkového zdravotního stavu, stavu kosti a okolních měkkých tkání. Obvykle se také zhotovuje CBCT rentgenový snímek - 3D snímek čelisti.

Dentální hygiena

Dentální hygiena

Základem zubního zdraví jsou zdravé dásně. Toho lze dosáhnout vaší perfektní pravidelnou domácí zubní hygienou.

Dentální hygiena

Základem zubního zdraví jsou zdravé dásně. Toho lze dosáhnout vaší perfektní pravidelnou domácí zubní hygienou. V takovém případě se na vašich zubech nebude tvořit zubní kámen, který vede k zánětu dásní a posléze k parodontitidě. Součástí preventivní péče je kontrola u lékaře a pravidelné návštěvy na profesionální zubní hygieně u zubní hygienistky. Při těchto návštěvách kontrolujeme stav dásní a vaši techniku čištění kartáčkem a mezizubními pomůckami.

Ošetření akutních případů

Ošetření akutních případů

To, že Vás zbavíme bolesti zubů považujeme za samozřejmost. Akutním stavům se snažíme s maximální snahou předcházet.

Ošetření akutních případů

To, že Vás zbavíme bolesti zubů považujeme za samozřejmost. Akutním stavům se snažíme s maximální snahou předcházet.

Nejdůležitějším předpokladem k omezení vzniku akutních stavů je mít „zuby v pořádku“. Dokončením léčebného plánu, stanoveného na vstupním vyšetření, přejdete do fáze pravidelných kontrol u lékaře a hygienistky v 6ti měsíčním až 12ti měsíčním intervalu. U takto ošetřených pacientů je riziko vzniku akutních obtíží minimální.

Pokud se však bolest zubu dostaví, obraťte se na nás a Váš problém budeme bezbolestně řešit.

Zhotovení fazet, korunek a můstk

Zhotovení fazet, korunek a můstků

Cílem ošetření je rekonstrukce zubu v případě velké destrukce zubních tkání (typicky už není možné zub ošetřit pouhou výplní). Dále nám toto ošetření umožňuje nahradit ztracené zuby nebo zlepšit estetiku úsměvu.

Ošetření spočívá v týmové práci lékaře a zubního laboranta. Jen díky individuálnímu a preciznímu přístupu jsme schopni vytvářet přirozeně krásné odstíny, linie a tvary protetických prací.

Ošetření probíhá v několika návštěvách, v mezidobí se ve většině případů zhotovuje provizorní korunka/můstek.

Chirurgické ošetření, zubní implantát

Chirurgické ošetření, zubní implantáty

Extrakce neboli vytržení zubu je finálním řešení potíží a přistupujeme k němu v případě, kdy zub již není možné ošetřit. K extrakci zubu přistupujeme po podání lokálního anestetika a doba hojení je zkrácená vhodným ošetřením extrakční rány.

Na našem pracovišti provádíme také chirurgické vybavení zubů moudrosti (osmiček), které jsou do dutiny ústní prořezané částečně nebo jsou zcela neprořezané. Svým komplikovaným uložením mohou být zdrojem bolestivých obtíží, či komplikací pro sousedící zuby.

Po ošetření je pacient poučen v péči o dutinu ústní a díky našim postupům při ošetření rány jsou komplikace po výkonu snížené na minimum.

V případě ztráty zubu je ve většině případů možná náhrada zubu pomocí zubního implantátu. Zubní implantát nahrazuje zub bez nutnosti invazivního zásahu na sousedních zubech (jako je tomu v případě zhotovení můstku).

Implantologickému ošetření předchází důkladné vyšetření celkového zdravotního stavu, stavu kosti a okolních měkkých tkání. Obvykle se také zhotovuje CBCT rentgenový snímek - 3D snímek čelisti.

Zubní hygiena a ošetření parodontitidy

Zubní hygiena a ošetření parodontitidy

Základem zubního zdraví jsou zdravé dásně. Toho lze dosáhnout vaší perfektní pravidelnou domácí zubní hygienou. V takovém případě se na vašich zubech nebude tvořit zubní kámen, který vede k zánětu dásní a posléze k parodontitidě. Součástí preventivní péče je kontrola u lékaře a pravidelné návštěvy na profesionální zubní hygieně u zubní hygienistky. Při těchto návštěvách kontrolujeme stav dásní a vaši techniku čištění kartáčkem a mezizubními pomůckami.

Ošetření akutních případůy

Ošetření akutních případů

To, že Vás zbavíme bolesti zubů považujeme za samozřejmost. Akutním stavům se snažíme s maximální snahou předcházet.

Nejdůležitějším předpokladem k omezení vzniku akutních stavů je mít „zuby v pořádku“. Dokončením léčebného plánu, stanoveného na vstupním vyšetření, přejdete do fáze pravidelných kontrol u lékaře a hygienistky v 6ti měsíčním až 12ti měsíčním intervalu. U takto ošetřených pacientů je riziko vzniku akutních obtíží minimální.

Pokud se však bolest zubu dostaví, obraťte se na nás a Váš problém budeme bezbolestně řešit.

Kontakt

Kde nás najdete?

Stomatologie Brůžek s.r.o.

Sídlíme v budově zubního centra ADR dental.

Adresa:
Werichova 1145/23, Praha 5 Barrandov

Otevírací doba:
Po 8-16:00
Út 13-19:00
St 8-16:00
Čt 8-20:00
Pá 8-14:00

E-mail:
info@bruzekstomatologie.cz

Telefon:
+420 731 800 835

IČO: 13987143

Kontaktujte nás

Co pro Vás můžeme udělat?